Jak vypadá paradontoza? Příznaky, průběh a co dělat, když to máte

Jak vypadá paradontoza? Příznaky, průběh a co dělat, když to máte

Rizikový výpočet paradontozy

Tento nástroj pomůže zjistit, zda máte zvýšené riziko paradontozy. Vezměte v úvahu, že tento výpočet je pouze pomocný a nemůže nahradit prohlídku u periodontologa.

Paradontoza není jen zánět dásní. Je to postupné, často tiché ničení kosti, která drží vaše zuby na místě. Mnoho lidí si nevšimne, že ji mají, dokud neztratí zub. A to už je pozdě. Když řeknete „dásně krvácejí“, většina si představí jen pár kapek krve při čištění zubů. Ale u paradontozy to není jen tak. To je signál, že vaše tělo bojuje o přežití zubů - a prohrává.

Co vlastně paradontoza dělá s vašimi zuby?

Paradontoza začíná jako zánět dásní - to se jmenuje gingivitida. Dásně jsou červené, opuchlé, krvácejí při čištění. Zatím to vypadá jako drobný problém. Ale pokud necháte zubní kámen a bakterie dál, začnou ničit i tkáně pod dásní. To je ten moment, kdy gingivitida přeroste v paradontitidu - pravou paradontozu.

Bakterie se usazují pod dásní, v tzv. paradontálních kapsách. Tyto kapsy jsou jako malé jamky kolem kořene zubu. Když se rozšíří, zub ztrácí oporu. Kost kolem něj se roztaví. A to se nestane za týden. Trvá roky. Často to vypadá, že se zuby jen „uvolňují“. Ale to není náhoda. Je to výsledek systematického ničení.

Když se to projeví, už je pozdě

Nejhorší je, že paradontoza nebojí. Nebojí se bolesti. Nebojí se, že byste si to všimli. Většina lidí nevnímá žádnou bolest, dokud zub nezačne pohybovat. A když se pohybuje, už je ztracený. Příznaky nejsou tak jasné jako u zubního kazu:

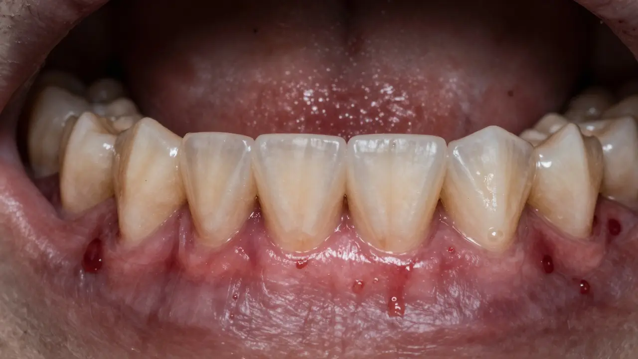
  • Dásně krvácejí i při mírném doteku - nejen při čištění
  • Dásně se stahují, zuby vypadají delší než předtím
  • Mezi zuby se objevují mezery, které dříve nebyly
  • Trvalý zápach z úst, i když si čistíte zuby každý den
  • Zuby se pohybují, když na ně přitlačíte jazykem
  • Při žvýkání cítíte, že nějaký zub „nejezdí“ správně

Nejčastější místo, kde to začíná, je mezi zuby v oblasti dolních řezáků. Tam se zubní kámen hromadí nejvíc. Pokud máte v tomto regionu ztrátu dásně nebo zápach, který nezmizí, je to červená vlajka.

Co se stane, když to necháte?

Paradontoza není jen o ztrátě zubů. Je to systémový problém. Bakterie z úst vstupují do krevního oběhu. Studie ukazují, že lidé s těžkou paradontozou mají vyšší riziko srdečních onemocnění, cukrovky i předčasného porodu. To není teorie - je to potvrzeno výzkumem v Journal of Clinical Periodontology.

Když se kost kolem zubu rozpadne, zub ztrácí všechnu podporu. Nejprve se začne pohybovat. Pak se ztratí schopnost žvýkat. Nakonec ho musíte vytrhnout. A to není jen o jednom zubu. U těžkých případů se ztrácí celé skupiny zubů - nejčastěji v dolní čelisti. A poté se začíná měnit tvář. Dásně se sesouvají, líc se zatáhne, tvář vypadá starší.

Průřez zubu s hlubokými paradontálními kapsami a ničením kosti kolem kořene.

Co dělat, když to máte?

Nejlepší věc, kterou můžete udělat, je kyretáž zubů. To není nějaký moderní vymyšlený postup. Je to základní léčba, kterou dělají periodontologové už desítky let. Kyretáž znamená, že lékař pečlivě vyčistí pod dásní - odstraní kámen, bakterie a infikovanou tkáň. Používá speciální nástroje, které dosahují do hloubky 4-6 mm pod dásní. To, co vidíte ve zrcadle, je jen vrchol ledovce.

Kyretáž se dělá ve dvou fázích. Nejprve se vyčistí jedna strana čelisti, pak druhá. Může to být nepříjemné, ale obvykle se to dělá pod místním anestetikem. Po proceduře dásně zaznamenají zlepšení za několik týdnů: přestanou krvácat, zmenší se opuchy, zápach zmizí.

Někteří lidé si myslí, že když se jim zuby „vyčistí“ na návštěvě u zubaře, už je to v pořádku. To není pravda. Standardní čištění odstraní kámen jen nad dásní. Pod dásní zůstává všechno - a to je to, co ničí kost.

Kdo má největší riziko?

Paradontoza se nevybírá podle věku. Ale některé skupiny jsou ohroženější:

  • Lidé, kteří nečistí zuby mezi zuby - a to i když si čistí zuby dvakrát denně
  • Kouřící - kouření způsobuje, že dásně nekrvácejí, takže lidé nevidí příznaky, dokud není pozdě
  • Lidé s cukrovkou - vysoká hladina cukru v krvi zvyšuje riziko infekce
  • Lidé, kteří nechodí k zubaři už 3 a více let
  • Lidé, kteří mají v rodině příbuzné s vysokým rizikem ztráty zubů

Nejčastější chyba? Čekání na bolest. Když zub bolel, už je většinou příliš pozdě. Paradontoza nebojí. A nezvýší se vám teplota. A nezakřičíte. A to je přesně ten důvod, proč to zničí vaše zuby.

Muž se dívá do zrcadla a dotýká se uvolněných zubů na spodní čelisti.

Co můžete dělat doma?

Kyretáž je první krok. Ale bez domácí péče se to opakuje. Každý den potřebujete:

  1. Čištění zubů dvakrát denně - nejen zuby, ale i dásně
  2. Mezi zuby - používejte mezi zubní štětce nebo dentální nit. Neexistuje žádná jiná alternativa.
  3. Antiseptický ústní vodník - s chlorhexidinem, ale jen na krátkou dobu (max. 2 týdny), jinak poškodí ústní mikroflóru
  4. Pravidelné návštěvy u periodontologa - každých 3-6 měsíců, pokud už máte zánět

Nezabývejte se „zázračnými“ ústními vodami, které slibují „vyléčení paradontozy“. To neexistuje. Neexistuje žádný lék, který by zastavil ničení kosti. Pouze mechanické odstranění bakterií a kamenů to způsobí.

Co se stane, když se to nezastaví?

Bez léčby se paradontoza postupně zhoršuje. Kost se ničí. Zuby se vyměňují. A když jich ztratíte víc než pět, začne se měnit vaše tvář. Přestanete žvýkat. Ztratíte schopnost jíst tučná jídla, oříšky, jablka. Přestanete mít radost z jídla.

Některé osoby skončí s celou čelistí, kterou musí nahradit protezou. A to není jen o náhradě. To je o ztrátě sebevědomí, o tom, že se nechcete smát, nechcete mluvit, nechcete jíst s ostatními. Tohle není jen zdravotní problém. Je to kvalita života.

Nejhorší je, že to většinou není důsledek špatné hygieny. Je to důsledek toho, že se nikdo nezeptal: „Co se děje pod dásní?“

Závěr: Nečekáte na bolest

Paradontoza nebojí bolest. A nezakřičí. A nezazvoní. A když už zazní, už je pozdě. Pokud dásně krvácejí, pokud zuby vypadají delší, pokud máte zápach, který nezmizí - nečekáte na další zub. Jděte k periodontologovi. Udělejte kyretáž. Nejde o to, jestli to bude příjemné. Jde o to, jestli budete mít zuby za 5 let.

V Brně je dnes už každý druhý člověk ve věku nad 40 let s nějakou formou paradontozy. Nejsou to jen starší lidé. Tohle je epidemie, kterou nevidíme, protože nebojí.