Jak vypadá zánět okostice zubů a co s tím dělat

Jak vypadá zánět okostice zubů a co s tím dělat

Rizikový posudek zánětu okostice

Zjistěte, zda máte vysoké riziko zánětu okostice zubů. Tento nástroj vám pomůže pochopit, které příznaky byste měli brát vážně.

POZNÁMKA: Tento nástroj nenahrazuje odborné zubařské vyšetření. Pokud máte podezření na zánět okostice, vyhledejte okamžitě zubaře.

0

Odpovězte na otázky

Vaše riziko

Doporučení

Zánět okostice zubů není jen bolest, která vás probudí v půlnoci. Je to signál, že něco vážně selhává pod povrchem. Když se okostice kolem kořene zubu začne zánětlivě rozšiřovat, nejde o běžnou citlivost. Jde o infekci, která se šíří z hlubokého zubního kazu, poškozeného kanálu nebo z nesprávně vyplněného zubu. A když se to přehlédne, může to vést k ztrátě zubu, rozšíření infekce do čelisti nebo dokonce do krevního oběhu.

Co přesně je okostice a proč je důležitá?

Okostice, nebo také periodontální ligament, je ten tenký vrstevnatý pás tkáně, který spojuje kořen zubu s čelistí. Nejde jen o „lepidlo“ - je to aktivní tkáň s vlastními cévami, nervy a buněkami, které udržují zub pevně na místě a pohlcují tlak při žvýkání. Když se tato tkáň infikuje, začne se rozpadat. První příznaky jsou často zamlčené: mírná bolest při kousnutí, pocit, že zub „je vyšší“ než ostatní, nebo nepříjemný pach z úst, který nezmizí ani po čištění.

Co způsobuje zánět okostice?

Nejčastější příčina je bakteriální infekce, která se dostane do kořenového kanálu. To se stává, když:

  • Je zub zcela zničený kazem a nebyl včas léčen
  • Došlo k poškození zubu, například po úrazu
  • Byl proveden neúplný endodontický výkon (kořenová léčba)
  • Keramická onlay nebyla přesně přizpůsobena a pod ní se hromadí plak

Keramické onlay jsou často volbou pro zuby, které už mají velké plnění, ale stále mají zdravý kořen. Pokud je onlay špatně přizpůsobená, může mezi ní a zubem vzniknout mezera. Bakterie se tam usadí, způsobí kazu pod onlay a postupně proniknou až k kořeni. To je jedna z nejčastějších příčin zánětu okostice u pacientů, kteří si mysleli, že „mají zub v pořádku“.

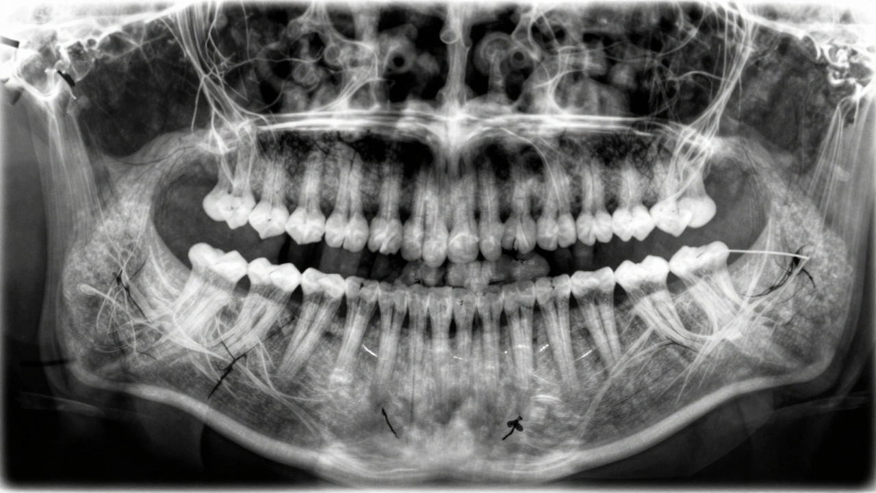
Jak vypadá zánět okostice na rentgenovém snímku?

Na rentgenovém snímku se zánět okostice projevuje jako tmavá, kruhová nebo hvězdicovitá oblast kolem špičky kořene. Tato tmavá oblast je místo, kde kost už neexistuje - byla zničena bakteriemi. Čím dříve se to uvidí, tím větší šance je, že se dá zub zachránit. Pokud je tmavá oblast malá a ohraničená, ještě je čas na léčbu. Pokud je velká a šíří se do okolní kosti, zub často už nelze zachránit.

U některých pacientů se zánět projevuje jen na rentgeně, aniž by cítili bolest. To je nebezpečné - mnozí si myslí, že když nebolestí, je vše v pořádku. Ale infekce může být aktivní i bez příznaků, jen pomalu ničí kost. To je důvod, proč je každoroční kontrola s rentgenem nezbytná, zejména pokud máte plnění, korunky nebo onlay.

Panoramatický rentgenový snímek s viditelnou infekcí u špičky kořene a fistulou.

Co se děje v těle, když se zánět rozšíří?

Když infekce z okostice překročí hranice kosti, může se vytvořit absces - hnisavá kapsle kolem kořene. Ten se může prohnít k dásni a vytvořit „výron“ - malý hnisavý otvor, který se někdy samovolně otevře a hnis se vypustí. To může dočasně zmírnit bolest, ale infekce zůstává uvnitř. Někdy se hnis šíří podél kosti a vytváří tzv. fistulu - trvalý kanálek, který spojuje infikovaný zub s povrchem dásně. To je často vidět jako malý „příšerný“ výběžek, který se zčervená a vytéká hnis.

Bez léčby se infekce může šířit do čelisti, nosních dutin nebo dokonce do mozku. I když je to vzácné, není to nemožné. V České republice se každoročně objeví desítky případů komplikací z nelečených zubních infekcí, které vyžadovaly hospitalizaci.

Co dělat, když máte podezření na zánět okostice?

Nečekáte, až to „přejde samo“. První krok je vyšetření u zubaře. Nejde jen o pohled do úst - potřebujete rentgen. Jeden snímek nestačí. Potřebujete panoramatický snímek nebo konický paprsek (CBCT), který ukáže přesný rozsah poškození.

Možnosti léčby závisí na stavu:

  1. Rekondicionovaná kořenová léčba - pokud je zub stále zachránitelný a infekce není příliš rozsáhlá, zubař znovu otevře kořenový kanál, vyčistí infekci a znovu vyplní. U některých pacientů se to podaří i po několika pokusech.
  2. Chirurgická léčba - pokud je infekce větší, může být nutné otevřít dásen a odstranit infikovanou tkáň. Tato procedura se nazývá apikotomie. Zbývající konec kořene se zkrátí a zapečetí.
  3. Odstranění zubu - pokud je kost zničená, zub už není stabilní nebo infekce se rozšířila příliš daleko, nezbývá než ho vytrhnout. Po odstranění je důležité zvážit náhradu - například implantát nebo most.

Je důležité pochopit: zánět okostice se nelečí antibiotiky samotnými. Antibiotika mohou dočasně zmírnit příznaky, ale neodstraní příčinu. Pokud neodstraníte infekci z kořene, problém se vrátí. To je důvod, proč mnoho lidí po léčbě antibiotiky zpět přijde s bolestí - nebylo vyřešeno jádro problému.

Keramická onlay s mikromezery, kde se hromadí bakterie vedoucí k infekci kořene.

Keramická onlay a riziko zánětu

Keramická onlay je přesně vyrobená vložka, která pokrývá jen část zubu - ne celou korunu. Je krásná, odolná a často volena pro přední zuby nebo zuby s velkým plněním. Ale má jeden háček: je citlivá na přesnost přizpůsobení.

Pokud je onlay vyráběna špatně, nebo pokud zubař při zhotovení nepoužil správné tlakové techniky, může mezi ní a zubem vzniknout mezera o velikosti několika mikrometrů. To je malé - ale pro bakterie je to jako dveře. Plak se tam hromadí, kyselina se vytváří, a zub se zničí odvnitř. To se často nestane hned - může trvat roky. Až potom, když se infekce dostane k kořeni, se objeví bolest.

Proto je důležité:

  • Po instalaci onlay požádat o kontrolní rentgen - nejen pro vizuální kontrolu, ale i pro kontrolu těsnosti
  • Pravidelně kontrolovat zuby s onlay každých 6-12 měsíců
  • Pokud se objeví citlivost na studené, horké nebo při kousnutí - nečekat, až to „přejde“

Co můžete dělat doma?

Domácí péče sama o sobě nevyřeší zánět okostice, ale může pomoci zabránit jeho vzniku nebo zpomalit jeho průběh:

  • Používejte interdentalní kartáčky nebo zubní nitě - zvláště pokud máte onlay nebo korunky
  • Volte zubní pastu s fluorem a chlorhexidinem - pomáhají omezit bakterie
  • Nezabývejte se domácími „řešeními“ - hřebík, česnek, alkohol - to nezabíjí infekci v kořeni
  • Pokud máte bolest, použijte ibuprofen (ne paracetamol) - má protizánětlivý účinek

Když už je pozdě - co pak?

Někdy je zub nezachránitelný. To je bolestivé, ale není to konec. Dnes máme možnosti, které dříve neexistovaly. Implantát s keramickou korunkou je nejblíže přirozenému zubu - nejen vypadá, ale i funguje jako původní. Nevyžaduje zpracování sousedních zubů, jako most, a při správné péči vydrží desítky let.

Na druhou stranu, pokud máte více zubů poškozených, může být vhodný částečný zubní protéza. Není to ideál, ale je to rychlá a cenově dostupná volba.

Nejhorší je ignorovat. Každý zub, který ztratíte, zatíží ostatní. Zbývající zuby se přetěžují, mohou se posouvat, může se změnit tvář. A to všechno se dá předcházet, když se na první příznaky reaguje hned.

Může zánět okostice zmizet sám?

Ne. Zánět okostice je infekce, která vzniká v kosti kolem kořene zubu. Bakterie tam nezmizí samy - potřebují otevřený přístup k odstranění infekce. Pokud se bolest přestane, neznamená to, že infekce je pryč. Často jen přešla do chronické fáze, kde ničí kost bez bolesti. To je nebezpečnější než ostrá bolest.

Je zánět okostice nebezpečný pro celé tělo?

Ano. Chronická zubní infekce je spojena s vyšším rizikem srdečních onemocnění, cukrovky, a i předčasného porodu u těhotných žen. Bakterie z úst se mohou dostat do krevního oběhu a způsobit zánět i v jiných částech těla. To je důvod, proč zubaři dnes považují zubní infekce za systémový problém, ne jen lokální.

Může keramická onlay způsobit zánět okostice?

Ano, pokud není přesně přizpůsobená. Malá mezera mezi onlay a zubem je ideální místo pro hromadění bakterií. Ty se dostanou až k kořeni a způsobí infekci. Proto je důležité, aby onlay byla vyrobená v laboratoři s vysokou přesností a pečlivě zkontrolována zubařem při instalaci.

Je léčba zánětu okostice bolestivá?

Moderní léčba je téměř bezbolestná. Lokální anestézie blokuje všechny nervy v oblasti. Po operaci může být mírná nepříjemnost, ale obvykle se řeší běžnými léky proti bolesti. Největší bolest je ta, kterou cítíte před léčbou - ne ta, která přichází během ní.

Jak dlouho trvá léčba zánětu okostice?

Záleží na závažnosti. Jednoduchá rekondicionovaná kořenová léčba může trvat 1-2 návštěvy po 60-90 minutách. Chirurgická léčba (apikotomie) vyžaduje jednu návštěvu, ale zahojování trvá několik týdnů. Celkově se zub může zcela zahojit během 3-6 měsíců. Důležité je pravidelné sledování - kontrolní rentgeny každých 6 měsíců.